Avascular Necrosis (AVN)

 

Terms used on this page:
Avascular Necrosis
AVN
Freiberg's Disease
 

What is Avascular Necrosis?

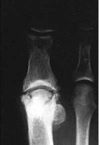
The term "Avascular Necrosis" refers to a condition where a portion of a bone dies due to diminished localized blood flow.  This results in degeneration of the bone, which is particularly problematic near a joint, as it may cause arthritis.  (See photo to the right.)

 

What causes avascular necrosis? 

Avascular necrosis can result from a trauma of some sort that never heals.  For example, a fractured bone or a surgical bone cut can lead to an avascular necrosis. 

Alternatively, avascular necrosis can result from a low-grade repetitive trauma.  Examples of this are a long-term use of high heeled shoes that causes a slow, gradual death of a bone through repetitive trauma called "Freiberg's Disease" (See below). 

 

 

Avascular Necrosis of the first metatarsal bone at the big toe joint.  Note the whitened appearance (sclerosis) of the bone and the irregular joint surface suggesting arthritic changes in the joint.

Freiberg's Disease:  Note the flattened portion of bone to the right, compared to the other, more rounded bones on the left. 

Infection of bone (osteomyeltis), too, may cause avascular necrosis. 

 

 

 

How do you treat avascular necrosis? 

It depends upon the location and upon the patient's symptoms. 

Sometimes it doesn't hurt and doesn't change function much.  So it's possible that nothing needs to be done.  Sometimes an orthotic appliance can be used to redistribute weight away from the area.  Extracorporeal shockwave therapy (ESWT) could be employed to stimulate bone.  And sometimes surgery is required. 

 

 

 

 

You are reading a web page from:

www.FootDoc.ca

This website is operated by 
The Achilles Foot Health Centre
S. A. Schumacher, D.P.M., F.A.C.F.A.S., F.A.C.F.A.O.M.  
Dr. S. A. Schumacher, Podiatric Corporation  

You may reach this website by visiting any of the following URL's: 
  www.FootDoc.ca
www.The FootDoctor.ca
www.DrSchumacher.ca